Leczenie, które odtwarza naturę
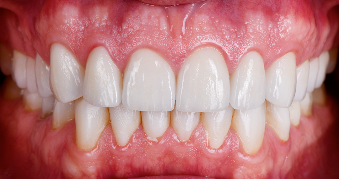
Stomatologia w naszym gabinecie to precyzyjne i przewidywalne leczenie, które pozwala odbudować ząb tak, by wyglądał jak nienaruszony. To leczenie estetyczne z pięknie wymodelowanymi strukturami anatomicznymi zęba i nieodróżniającym się kolorem. Dzięki zaawansowanym materiałom i nowoczesnym technikom dbamy nie tylko o estetykę, ale przede wszystkim trwałość i funkcjonalność – odbudowany ząb harmonijnie współpracuje z resztą uzębienia, co zapewnia trwałość i komfort w codziennym życiu.
Trwałość
Do odbudowy zębów używamy najbardziej zaawansowanych materiałów kompozytowych, które maja bardzo wysoką odporność na ścieranie oraz temperaturę, dzięki temu stosowane przez nas wypełnienia mogą spełniać swoją rolę nawet przez bardzo długi czas.
Szczelność i biozgodność
Wypełnienia wykonujemy w 25 krotnym powiększeniu mikroskopu i w izolacji koferdamem. Daje to pewność prawidłowego opracowania zmienionych chorobowo tkanek zęba. Odbudowana w tym miejscu część zęba szczelnie zostaje połączona z zębem własnym uniemożliwiając powstanie próchnicy wtórnej.
Estetyka
Stomatologia w naszym gabinecie to precyzyjne i przewidywalne leczenie, które pozwala odbudować ząb tak, by wyglądał jak nienaruszony. To leczenie estetyczne z pięknie wymodelowanymi strukturami anatomicznymi zęba i nieodróżniającym się kolorem.
Kluczem do sukcesu w leczeniu kanałowym i zachowawczym jest wysoka precyzja leczenia i dokładność lekarza oraz zastosowanie bardzo trwałych i nowoczesnych materiałów kompozytowych odpornych na ścieranie.
We Flow Dental Studio zadbaliśmy o najdrobniejsze szczegóły!
Precyzja, która daje trwałość
Pracujemy w powiększeniu – używamy lup i mikroskopu, dzięki czemu dostrzegamy najmniejsze detale struktury zęba, co przekłada się na wyjątkową precyzję leczenia. Stosujemy najwyższej jakości materiały i techniki izolacji, takie jak koferdam, który chroni ząb przed wilgocią i zanieczyszczeniami, zwiększając skuteczność i trwałość zabiegów.
Każdy etap leczenia w naszym gabinecie opiera się na sprawdzonych, przewidywalnych procedurach i nowoczesnych technologiach, które zapewniają maksymalną dokładność i trwałość odbudowy.
Naszym Pacjentom oferujemy możliwość leczenia pod okiem lek. dent. Adriana Kiepuszewskiego – eksperta i wykładowcy, który dzieli się swoim doświadczeniem z innymi lekarzami w Polsce. Jako konsultant jednego z czołowych systemów nakładkowych, opracował skuteczny workflow, który pozwala osiągać przewidywalne, estetyczne efekty – także jako przygotowanie do dalszego leczenia, np. z użyciem licówek ceramicznych. To ortodoncja, która działa subtelnie, ale skutecznie – z myślą o pięknym uśmiechu i zdrowej przyszłości.
Jesteśmy kameralnym gabinetem, każdy z naszych Pacjentów jest dla nas tym najważniejszym. Pracujemy w bardzo zgranym i staranie skompletowanym zespole. Dzięki temu mamy pewność, że trafisz w ręce lekarzy, którzy naprawdę oferują doskonały poziom leczenia.
Trwałość, precyzja, w pełni naturalna estetyka.
W naszym gabinecie leczenie zachowawcze to coś więcej niż leczenie ubytku – to precyzyjnie zaplanowany proces, który przywraca zdrowie Twojego zęba w sposób przewidywalny, skuteczny i zgodny z naturą.
Na pierwszej wizycie przeprowadzamy dokładne badanie Pacjenta oraz wykonujemy przegląd uzębienia, jeżeli jest konieczność rozpoczynamy od profesjonalnej higienizacji oraz instruktażu higieny jamy ustnej. Jest to bardzo ważny element, wypełnienia zakładane na brudne zęby nie będą tak szczelne i dokładne jak być powinny.
Leczenie próchnicy po zakwalifikowaniu zęba rozpoczynamy od wykonania znieczulenia, zawsze (o ile Pacjent nie prosi o leczenie bez znieczulenia) znieczulamy zęby, które będziemy leczyć, a następnie zakładamy koferdam (guma, która oddziela nam zęby od reszty jamy ustnej).
Dzięki takiej izolacji leczenie jest niezwykle komfortowe oraz zapewnia nam brak dostępu śliny do ubytku co jest bardzo ważne dla szczelności i trwałości wypełnienia (ślina zaburza wiązanie materiału kompozytowego używanego do wypełniania ubytków).
Oprócz tego komfort leczenia w koferdamie z perspektywy Pacjenta
jest nie do przecenienia – możemy przełykać ślinę i żaden ssak czy ślinociąg nie wysuszy nam jamy ustnej (kto choć raz miał leczone zęby ten wie o czym mówię).
Po założeniu izolacji lekarz opracowuje ubytek i w zależności od głębokości ubytku albo zakłada wypełnienie, albo decyduje o zastosowaniu leczenia biologicznego (syntetyczną zębiną). W skrajnych przypadkach konieczne jest leczenie kanałowe.
Wypełnienie ubytku polega na warstwowym nakładaniu materiału
kompozytowego dlatego, że każda warstwa podczas utwardzania (naświetlania) delikatnie się kurczy. Zakładanie go w niewielkich warstwach chroni nas przed powstaniem mikroprzecieku pomiędzy zębem a wypełnieniem (nie zawsze czas wykonania zabiegu działa na korzyść pacjenta).
Wypełnienie również musi odbudowywać punty styczne pomiędzy zębami i gładko przechodzić w zdrowe tkanki zęba (nie może być żadnych nawisów ponieważ one powodują zaleganie pokarmu i nierzadko stany zapalne dziąseł).
W ostatnim etapie ząb jest dopasowany do zgryzu (ale tak, aby mieć prawidłowy kontakt z zębem przeciwstawnym) oraz polerowany na gładko.
Używane przez nas kompozyty charakteryzują się współczynnikiem załamania światła identycznym jak w naturalnym szkliwie. Oznacza to, że światło przechodzi przez odbudowaną tkankę w taki sam sposób, jak przez zdrowy ząb – a granica między zębem a wypełnieniem staje się praktycznie niewidoczna. Efekt? Naturalny, estetyczny uśmiech bez sztucznego połysku czy efektu szarości.
Dodatkowo, materiały te są w pełni biokompatybilne i wolne od toksycznych składników. Nie uwalniają nieusieciowanych cząsteczek, co sprawia, że są bezpieczne nawet przy długotrwałym kontakcie z tkankami jamy ustnej.
Charakteryzują się również wyjątkową odpornością na ścieranie – ich ścieralność odpowiada tej naturalnego szkliwa, dzięki czemu idealnie współpracują z pozostałymi zębami i nie powodują nadmiernego zużycia.
Naturalna fluorescencja i świetne dopasowanie kolorystyczne sprawiają, że wypełnienia doskonale komponują się z resztą uzębienia, zarówno w świetle dziennym, jak i sztucznym.
Dodatkowym atutem jest niski skurcz polimeryzacyjny, który minimalizuje ryzyko mikroprzecieków i zwiększa szczelność odbudowy.
Dzięki zastosowaniu materiałów najwyższej klasy możemy zaoferować naszym pacjentom rozwiązania, które łączą w sobie doskonałą estetykę, trwałość oraz pełne bezpieczeństwo – dla uśmiechu, który wygląda i funkcjonuje jak naturalny.
Efekty leczenia zachowawczego w naszym gabinecie to dowód na to, że można przywrócić zdrowie i estetykę zęba w sposób zgodny z naturą.
Dzięki pracy w powiększeniu, zaawansowanym materiałom i precyzyjnym technikom odbudowujemy zęby tak, by wyglądały, jakby nigdy nie były leczone. Każde działanie jest przemyślane – od diagnostyki, przez izolację koferdamem, aż po finalne wykończenie odbudowy.
Naszym celem jest trwały efekt, który zapewnia Pacjentowi nie tylko piękny uśmiech, ale i komfort na co dzień.
Zobacz, jak wygląda mądre leczenie, które przywraca naturalną harmonię.


W naszym gabinecie stawiamy na precyzyjne i trwałe leczenie, które jest dostosowane do indywidualnych potrzeb każdego Pacjenta. Przygotowaliśmy odpowiedzi na najczęściej zadawane pytania, które pomogą Ci lepiej zrozumieć nasz proces leczenia oraz materiały, które stosujemy. Jeśli masz dodatkowe pytania, z przyjemnością udzielimy Ci wszelkich informacji!
W naszym gabinecie używamy zaawansowanych materiałów kompozytowych o wysokiej odporności na ścieranie i temperaturę. Dzięki temu nasze wypełnienia są wyjątkowo trwałe i mogą pełnić swoją rolę przez bardzo długi czas, zapewniając zarówno estetykę, jak i funkcjonalność.
Koferdam to specjalna izolacja, która chroni ząb przed wilgocią i zanieczyszczeniami podczas leczenia. Dzięki temu zapewniamy większą szczelność wypełnienia, co zapobiega powstaniu próchnicy wtórnej. Dodatkowo, koferdam zwiększa komfort leczenia, eliminując potrzebę używania ssaka czy ślinociągu.
Leczenie w naszym gabinecie odbywa się w pełnym znieczuleniu, dzięki czemu jest całkowicie bezbolesne. Dodatkowo, izolacja koferdamem sprawia, że zabieg jest komfortowy, a pacjent może spokojnie przełykać ślinę, nie czując suchości w jamie ustnej.
Wypełnienie nakładamy warstwowo, aby uniknąć mikroprzecieków pomiędzy zębem a materiałem kompozytowym. Każda warstwa jest starannie utwardzana, co zapewnia szczelność i trwałość wypełnienia. Dodatkowo, dbamy o to, aby wypełnienie idealnie pasowało do zgryzu i naturalnych punktów stycznych pomiędzy zębami.
Zadowolenie naszych Pacjentów jest dla nas najważniejsze. Dzięki indywidualnemu podejściu, precyzyjnemu leczeniu oraz komfortowi, który zapewniamy, wielu z nich cieszy się pięknym i zdrowym uśmiechem. Przeczytaj, co nasi Pacjenci mówią o leczeniu w naszym gabinecie!